Nicolas Cage 這幾年亂接商業片前,一直是我很喜歡的一個演員, 2000年時他演了一部 ”The family man ” 的溫馨小品,主要是說一個擁有一切卻失去靈魂的華爾街巨富,如何陰錯陽差地獲得 Second Chance 重新體驗人生。在我的門診中,也常有已經做過矯正但仍不滿意的病人,問我是否有 Second Chance 的可能。
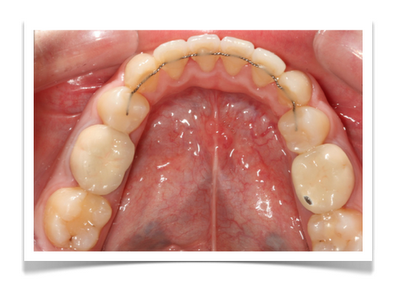
L小姐是個漂亮的美甲師,多年前因為暴牙的問題做過矯正,也拔了4顆小臼齒,雖然暴牙有改善,但她始終覺得笑的時候會露牙齦,上唇凸凸的,嘴唇也無法自然閉合。此外,她也不滿意臉型看起來較方,希望有個鵝蛋臉。2個月前她接受了正顎手術,將上下顎骨後退,下顎骨角修小,下巴修尖,讓這些問題一併解決。今天她回來覆診,聽她說矯正器下個月就可以拆了。
....................
if you got a second chance, what will you do?






你好,想請問醫生
回覆刪除所以已拔過4顆牙仍可正顎嗎
建議第一次矯正完過多少時間後去評估手術嗎??
我的是骨性暴牙矯正完牙齒有點內傾
牙齦的骨頭沒推進去
然後下巴好像有點後縮
很care,謝謝><
Hi
刪除anytime is ok
如果矯正完但矯正器還沒拆
我會建議先不要拆,以便如果真的要做正顎的話可以幫助術後調整
陳醫師