最近因為演出 MI7 中 Paris 一角讓人眼睛一亮,其實大家應該都看過她之前演出的另一個角色 Mantis (Guardians of the Galaxy),只是那個特殊妝很難讓人聯想到她。
Pom Klementieff 是法國演員,但沒記錯她有亞洲人(韓國)的血緣,深邃的五官和明顯的顴骨令人印象深刻。以西方人的審美觀她絕對美女一枚,但顴骨可能不是所有亞洲女生可以接受的。顴骨明顯的女生臉頰看起來也會較凹陷,如果伴隨太陽穴不飽滿,正面看起來輪廓線條不順,側面讓人有強勢不易親近,這是亞洲女生比較不愛顴骨的主因。
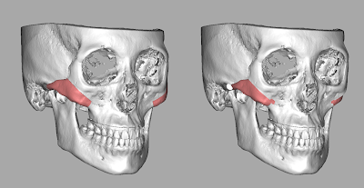
簡單的處理方式是將太陽穴及臉頰填充(脂肪或玻尿酸),但輪廓會變得更寬大。治本的方式是用顴骨手術,將過寬的顴骨弓內推,有時配合顴骨體縮小,手術效果更明顯
Paris 這個角色雖然是配角,但造型和人物性格其實都給 Pom Klementieff 有發揮的空間,尤其是其中一段臉部塗白,輪廓更為明顯,也許是導演故意的安排?!






沒有留言:
張貼留言