5/28/2012

顴骨 過寬 過高 (prominant malar eminence)







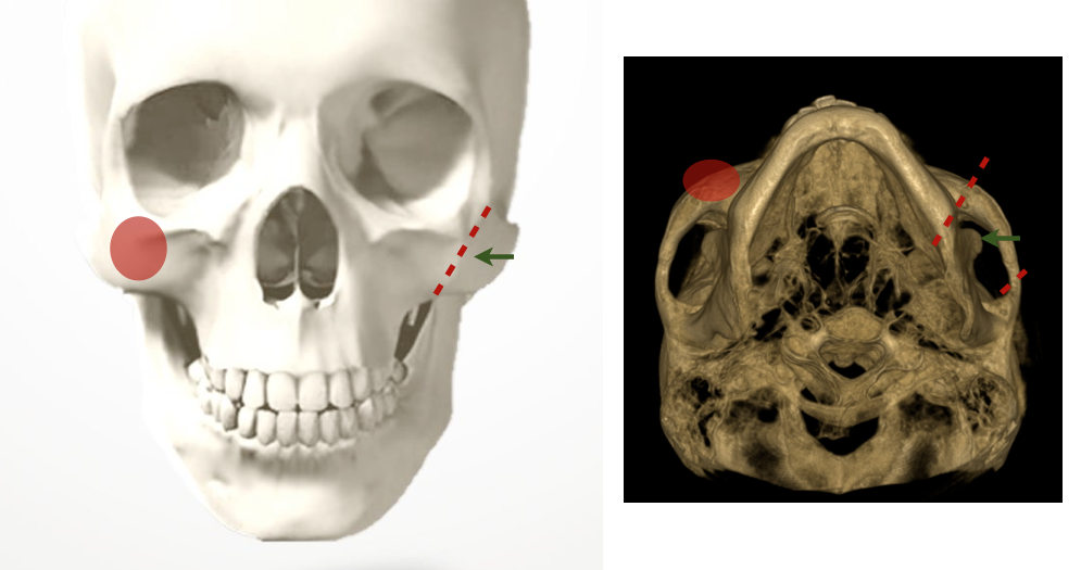
    顴骨 (zygoma) 是決定中臉寬度及立體感的骨骼,顴骨弓 (zygomatic arch ) 決定了臉的寬度而顴骨體 (zygomatic body) 則決定了臉頰隆起 (malar eminence) 的幅度。西方人由於眼眶骨立體,較明顯的顴骨使得眼睛看起來更深邃,東方人眼眶較平,配上較寬或較高的顴骨反而突兀,甚至有點感覺不易親近。

A: 顴骨弓    B: 顴骨體

 

    手術方式一般也分成兩個部份,顴骨弓過寬的處理方式是將顴骨弓兩端截斷再內移,才能達到較好的效果,而顴骨體過高則可用磨骨的方式處理。

 

    方小姐本身因為顴骨過寬的問題困擾已久,在做完電腦斷層確定顴骨形狀後,於上個月接受顴骨塑形手術,目前約術後一個月,大致上消腫而臉部線條也變得柔和許多。

 


 

 

 

 

 

 

 

 

 

 

 

 

 

 

 

 

 

11 則留言:

  1. 術前術後的差異不是很大,而且中間的照片手術後耳前有一條線,是疤痕嗎?好明顯喔!

    回覆刪除
  2. 因為才術後一個月
    還未完全消腫
    再等一陣子疤痕也不會太明顯 (而且藏在髮線裡面)
    就等我po之後的照片再分享了

    thanks

    回覆刪除
  3. 醫生:
    我目前在長庚醫院廖郁芳醫生是我的矯正醫生,因為我上班很難請假,想說給你開正顎手術和削骨手術,矯正醫生一樣是廖醫生,不知道這樣行的通嗎?! 如果可以,去跟你諮詢時,要帶些X光甚麼照片嗎?!

    回覆刪除
  4. 可以的
    其實我有好幾個病人都是和廖醫師合作的 (也有放在Blog中)
    如果方便 有X光片是最好的

    回覆刪除
  5. 陳醫師您好:
    請問這位小姐有做將顴骨弓往內移嗎?

    謝謝!

    回覆刪除
  6. 已經被顴骨問題困擾很久 不過礙於學生身分怕負擔不起 我想請問這項手術大概要多少錢?

    回覆刪除
    回覆
    1. 你有提到你還是學生,想了解一下你目前的年齡及家人知道你有這樣的困擾嗎?

      因為沒有你的照片,沒有辦法判斷你的臉型需要哪種術式,你可以先把你的照片mail 給我,評估後我再給你適當的建議。

      我的mail: b8301041@gmail.com

      刪除
  7. 我有辦法先了解各種手術方式的價錢嗎 因為有朋友也有興趣

    回覆刪除
    回覆
    1. 你指的是 顴骨 下顎骨 或是 正顎手術?

      刪除
  8. 作者已經移除這則留言。

    回覆刪除
  9. 顴骨手術 我今年22歲 我有寄信到您的信箱了

    回覆刪除